Dokter die op de computer werkt

Behandeling van ischemische beroerte

Pictogram neurovasculair

Wees klaar om nieuwe uitdagingen aan te gaan bij de behandeling van ischemische beroerte

 

We zien een sterke toename van trombectomie-interventies als eerstelijnsbehandeling voor patiënten met een ischemische beroerte. Er vindt op dit gebied ook een verschuiving plaats van op tijd gebaseerde naar op beeld gebaseerde patiëntselectie. Onze Neurovascular Suite is ontwikkeld als reactie op deze trends. Deze suite kan een hoge mate van procedurele efficiëntie ondersteunen en resultaten voor uw beroertepatiënten opnieuw definiëren.

Uitgelichte producten voor deze procedure

Azurion 7 B20/15

Azurion 7 B20/15-systeem voor beeldgeleide therapie

Ga voor een bredere neurologische dekking en meer flexibiliteit met toonaangevende 20-inch frontale en 15-inch laterale platte detectoren

Profiteer van duidelijk zicht en garandeer de veiligheid van alle betrokkenen

Ervaar een eenvoudige, soepele klinische workflow met de speciale neurofuncties

Verpleegkundige die de computer controleert

ProcedureCards

Eén ziekenhuis heeft de voorbereidingstijd in het lab met 12% teruggebracht met behulp van ProcedureCards.1

Help de systeemconfiguratie te stroomlijnen en te standaardiseren

Help het aantal voorbereidingsfouten te verlagen

    Klinische oplossingen voor de behandeling van ischemische beroerte

    Infographic afbeelding
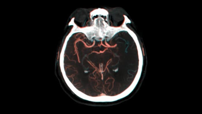
    CT achtige visualisatie

    CT-achtige visualisatie

    SmartCT Soft Tissue genereert een CT-achtige visualisatie van weke delen en ondersteunt diagnoses van beroertes op drie manieren. Een scan zonder contrastverbetering helpt bij de detectie van vroege ischemische veranderingen, een scan in een vroeg stadium helpt bij de identificatie van de proximale occlusie, en een scan met contrastverbetering in een laat stadium ondersteunt de detectie van collateralen.

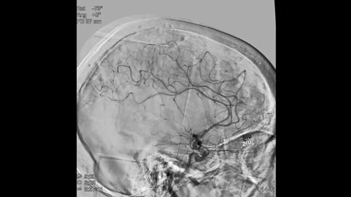
    Controleer de locatie en de lengte van een stolsel

    Controleer de locatie en de lengte van een stolsel

    SmartCT Vaso maakt visualisatie buiten het stolsel mogelijk met periprocedurele beeldvorming van de distale bloedvataspecten bij een ischemische beroerte. SmartCT Vaso is een acquisitietechniek op basis van een Cone Beam CT-scan en een intra-arteriële contrastmiddelinjectie. De techniek maakt visualisatie buiten het stolsel mogelijk met periprocedurele beeldvorming van de distale bloedvataspecten bij een ischemische beroerte. Dankzij retrograde vulling worden vaatstructuren voor en na het stolsel zichtbaar. De SmartCT Vaso 3D Roadmap kan worden gebruikt voor het visualiseren van stolselverwijderingsinstrumenten.

    Zie collaterale vulling

    Zie collaterale vulling

    Dual View voor het bekijken van Cone Beam CT-volumes in vroege en late stadia verbetert de identificatie van de penumbra en maakt visualisatie van collaterale vulling mogelijk.

    Periprocedurele controle op bloedingen

    Periprocedurele controle op bloedingen

    Gebruik SmartCT Soft Tissue-beelden (CT-achtige beelden) in de Neurovascular Suite om te controleren of de behandeling is geslaagd en om eventuele bloedingen vast te stellen.

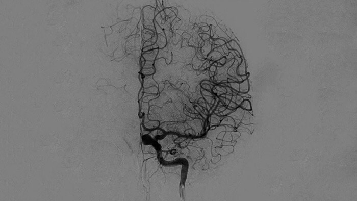
    Scherpe beelden met 2D DSA met ClarityIQ-technologie

    Scherpe beelden met DSA met ClarityIQ technologie

    ClarityIQ past tijdens realtime-DSA automatische bewegingscompensatie toe om scherpe beelden van de bloedvaten te behouden. Dit ondersteunt besluitvorming vol vertrouwen tijdens beroerteprocedures.

    Anatomische referenties ondersteunen nauwkeurige 3D-navigatie

    Anatomische referenties ondersteunen nauwkeurige navigatie

    SmartCT Roadmap biedt anatomische referenties ter ondersteuning van nauwkeurige navigatie van de voerdraad, de katheter en het instrument naar het stolsel.

    Verbeter de visualisatie van de vaatstructuur

    Verbeter de visualisatie van de vaatstructuur

    Neem weloverwogen beslissingen met betrekking tot de bereikbaarheid van het stolsel en welke route er moet worden gebruikt om het stolsel te bereiken. Roadmap Pro, een geavanceerde roadmap met dubbel contrast, helpt de visualisatie van overlappende bloedvaten te verbeteren terwijl de blootstelling aan straling evenwichtig wordt gehouden.

    Bevestig dat de behandeling is geslaagd

    Bevestig dat de behandeling is geslaagd

    Met hoogwaardige DSA-visualisaties kunt u beoordelen of u het volledige stolsel hebt verwijderd en of er stukjes stolsel distaal in de hersenen zijn verspreid. U kunt het herstel van de bloedstroom naar de penumbra controleren en eventuele periprocedurele bloedingen vaststellen.

    Workflow-innovaties voor de behandeling van ischemische beroertes


    Azurion biedt een aantal workflow-innovaties die zijn ontworpen om dienstdoend personeel efficiënt en gemakkelijk te laten werken met volledige focus op de patiënt en om de stralingsdosis te beheren tijdens interventies voor acute ischemische beroerte.

    Azurion-biplane-neuro-cerebral
    Volledige bediening bij de tafel bespaart tijd

    Volledige bediening bij de tafel bespaart tijd

    FlexVision Pro biedt directe toegang tot en volledige controle over preoperatieve diagnostische scans, patiëntgegevens en planningshulpmiddelen bij de tafel, zodat u tijd kunt besparen en niet onnodig in en uit het steriele gebied hoeft te lopen. Met de touchscreenmodule Pro kunt u beelden en toepassingen eenvoudig bij de tafel bedienen via een tablet.

    Multitasking kan procedures verkorten

    Multitasking kan procedures verkorten

    Met Instant Parallel Working kunnen teamleden tegelijkertijd aan verschillende taken werken zonder elkaar te onderbreken. Zo kunnen procedures voor patiënten met een ernstige beroerte worden verkort.

    Neurohoofdsteun helpt bewegingsartefacten te verminderen

    Neurohoofdsteun helpt bewegingsartefacten te verminderen

    Kan worden gebruikt om onrustige patiënten rustig te houden met bewuste sedatie om bewegingsartefacten tijdens de procedure te helpen beperken.

    Geïntegreerde operatietafel voor acute zorg

    Geïntegreerde operatietafel voor acute zorg

    De Getinge Magnus-operatietafel kan worden gebruikt voor spoedeisende en traumazorg. Het systeem wordt gesynchroniseerd met röntgensystemen van Philips om geavanceerde Philips-oplossingen te benutten.

    Azurion 7 C20 kan procedures vereenvoudigen

    Getinge Magnus operatietafel

    Monoplane angiosystemen worden steeds vaker naast een biplane-systeem gebruikt als speciale systemen voor beroertes of als back-upsystemen op afdelingen voor interventionele neurologie. De Azurion 7 C20 is compatibel met alle geavanceerde neurologische interventionele hulpmiddelen.

    Snellere behandeling van beroertes

    Snellere behandeling van beroertes.
    Betere resultaten.
     

    Bij een acute beroerte verdient iedereen de beste zorg. Tegenwoordig kunnen meer patiënten profiteren van mechanische trombectomie door de wijziging van richtlijnen waardoor het tijdvenster voor endovasculaire behandeling is verruimd.  

    Ontdek de verschillende procedures voor neurovasculaire beeldgeleide therapie

    • Behandeling van cerebrale aneurysma's

      Behandeling van cerebrale aneurysma's

      Oplossingen voor de behandeling van cerebrale aneurysma's om de zekerheid tijdens neuro-interventies met behulp van beeldgeleide therapie van Philips te vergroten.

      Klik hier voor meer informatie
    • AVM-behandeling

      AVM-behandeling

      De geavanceerde oplossingen voor neurovasculaire beeldvorming van Philips ondersteunen betrouwbare planning, medische bewaking en behandelingsbeslissingen voor AVM-interventies.

      Klik hier voor meer informatie

    Referenties

     

    * Zoals beschreven in de gebruiksaanwijzing van SmartCT

     

    1. Söderman M, Holmin S, Andersson T, Palmgren C, Babic D, Hoornaert B. Image noise reduction algorithm for digital subtraction angiography: clinical results. Radiology. 2013 Nov;269(2):553-60. De resultaten van de toepassing van dosisverlagingsmethoden variëren afhankelijk van de klinische taak, de patiëntgrootte, de anatomische locatie en de klinische praktijk. De interventieradioloog, die zo nodig wordt geassisteerd door een fysicus, moet voor elke specifieke klinische taak de geschikte instellingen bepalen. Resultaten op basis van DSA Dose Area Product per frame van een prospectief gerandomiseerd onderzoek met 20 patiënten in één centrum. DSA-runs voor Allura Xper met ClarityIQ en Allura Xper zonder ClarityIQ zijn op het frontale en het laterale kanaal verkregen bij dezelfde patiënt onder dezelfde omstandigheden met betrekking tot geometrie, gezichtsveld en injectieprotocol. De beeldkwaliteit werd gebaseerd op een subjectieve beoordeling (score 1-5, waarbij 1 = zeer slecht en 5 = uitstekend; geblindeerde beoordeling door 3 radiologen die bij het onderzoek betrokken waren).

    2. In een simulatieonderzoek met meer dan 60 gebruikers wereldwijd, met resultaten die werden verkregen tijdens gebruikerstests tussen november 2015 en februari 2016. De tests werden ontwikkeld en uitgevoerd door Use-Lab GmbH, een onafhankelijk en objectief bedrijf dat bruikbaarheidstests ontwikkelt, adviseert over de uitvoering daarvan en gebruikersinterfaces ontwerpt. Bij de tests waren 31 clinici uit de VS (16 artsen en 15 technici) en 30 clinici uit Europa (15 artsen en 15 technologen) betrokken, die procedures met Azurion uitvoerden in een gesimuleerde interventionele labomgeving.

    We gaan graag met je in gesprek.

    Hoe kunnen we je helpen?

    1
    Selecteer je interessegebied
    2
    Contactgegevens

    You are about to visit a Philips global content page

    Continue

    You are about to visit a Philips global content page

    Continue

    U kunt onze website het beste bekijken met de nieuwste versie van Microsoft Edge, Google Chrome of Firefox.