
Dit aan het plafond gemonteerde systeem biedt onbeperkte beeldvormingsflexibiliteit en uitzonderlijke positioneringsvrijheid. Bedien alle relevante toepassingen naadloos via één touchscreen bij de tafel, zodat u snel geïnformeerde beslissingen kunt nemen terwijl u in het steriele veld blijft. Philips Azurion met FlexArm werkt om u heen zodat u de prestaties van uw suite kunt verbeteren en superieure zorg kunt bieden.

XperGuide Ablation* biedt uitgebreide hulp bij het plannen van behandelingen en live naaldgeleiding. Het biedt unieke Parallax-correctie om naaldtrajecten te plannen voor laesies die niet in het midden liggen.1 Voor het optimaliseren van de naaldpositie voor effectieve ablatie geeft dit hulpmiddel het virtuele naaldtraject weer om te helpen bij het plannen van meerdere naalden. Het toont naaldkenmerken zoals ablatiezone/isotherm om volledige tumordekking te bevestigen voorafgaand aan ablatie.

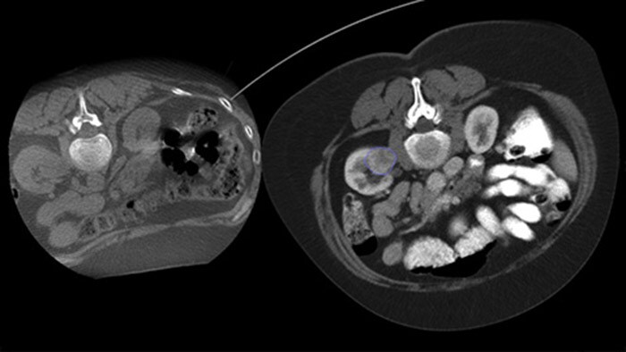
Heterogeniteit van laesies en gebrek aan opvallendheid beperken de kwaliteit van monsters en de uitvoerbaarheid van biopsieën onder echografie of conventionele CT. Sinds de toename van het gebruik van bevolkingsonderzoeken van de longen zijn longkankers in een vroeg stadium die zich manifesteren als kleine nodules vaker ontdekt dan ooit tevoren. 14,5% van een onderzochte populatie had nodules van ≤ 10 mm.1-2 Onze naaldnavigatietechnologie met CBCT verhoogt de precisie en maakt het mogelijk om nauwkeuriger op kleinere (<= 1 cm) of heterogene laesies te focussen met minder naaldherpositionering en bij een lagere dosis dan conventionele CT.1-2
vergeleken met conventionele CT1
minder naald- herpositionering vergeleken met conventionele CT 1
lagere huiddosis vergeleken met conventionele CT1


Percutane ablatie (radiofrequentie-, microgolf- en cryoablatie) is een veelgebruikte minimaal invasieve behandeling van nier-, lever-, long- en bottumoren. Deze behandeling is van cruciaal belang voor het definiëren van de grenzen van de tumor en voor beslissingen over een optimaal aantal naalden en het bijbehorende naaldtraject om een volledige tumorbehandeling uit te voeren en geen schade aan het omliggende weefsel te veroorzaken. Nauwkeurige navigatie naar de beoogde laesie bij een lage dosis zonder herpositionering van de naald vergroot de kans op slaging en verlaagt het risico op complicaties van uw biopsieën of ablaties. Bevestiging van het eindpunt van de ablatiebehandeling kan worden bereikt met 3D-beeldvorming terwijl de patiënt nog op de tafel ligt.

SmartCT Soft Tissue biedt een Cone Beam CT-acquisitietechniek (CBCT), versterkt met stapsgewijze geleiding, geavanceerde 3D-visualisatie en meethulpmiddelen. Dit alles is toegankelijk via de touchscreenmodule bij de tafel.

Dual View maakt de overlay van een 3D-beeld voorafgaand aan de procedure (CT/MR/PET-CT) op een intraprocedurele 3D CBCT Dual mogelijk om de laesies beter te visualiseren en toegang te krijgen tot cruciale informatie voor naaldplanning.

XperGuide biedt zeer nauwkeurige live beeldgeleiding van elke naald naar een doelpositie door overlay van vooraf geplande trajecten met fluoroscopische beeldvorming.3

Verkrijg met CBCT een CBCT-beeld na de ablatie om de mate van tumordekking aan te tonen en de voltooiing van uw behandeling te bevestigen.
Oplossingen voor effectieve geleiding bij behandeling en besluitvorming voor tumorembolisatie, mogelijk gemaakt door beeldgeleide therapie van Philips.
Klik hier voor meer informatie Referenties * XperGuide-ablatie is een optionele functie van XperGuide 1. Abi-jaoudeh et al , Cone Beam vs Conventional CT Navigation for Image-Guided Biopsy, J VascIntervRadio; 2016; 27: 1342–1349. 2. Floridi C et al, Percutaneous needle biopsy of mediastinal masses under C-arm conebeam CT guidance: diagnostic performance and safety, Medical Oncology, 2017; 34(4): 1-7 3. Ji Yung Choo; Percutaneous transthoracic needle biopsy of small (1 cm) lung nodules under C-arm cone-beam CT virtual navigation guidance; Eur Radiol (2013) 23:712–719.
You are about to visit a Philips global content page
Continue