Anatomical Intelligence
Turning images
into answers
Anatomical Intelligence looks at a patient’s ultrasound data and applies adaptive system intelligence to create easier and more reproducible results. Anatomical Intelligence in ultrasound uses advanced 3d organ modeling, image slicing, and proven quantification to help make ultrasound exams easier to perform and more reproducible, effectively changing the Anatomical Intelligence is used in Philips imaging solutions such as EchoNavigator, EP
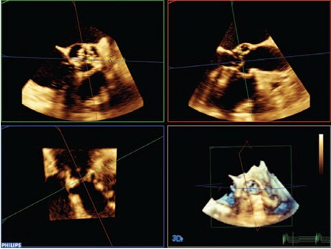
Introducing HeartModelᴬ⋅ᴵ⋅, a new Anatomically Intelligent Ultrasound (AIUS) application that brings advanced Live 3D quantification, automated 2D views and robust reproducibility to echocardiography. HeartModelᴬ⋅ᴵ⋅ automatically detects, segments, and quantifies the LA (Left Atrium) and LV (Left Ventricle) from a 3D volume.
White paper
Brochure
Poster
This study compared quantification between 2D and Live 3D HeartModelᴬ⋅ᴵ⋅ and demonstrated a 82% timesavings for HeartModelᴬ⋅ᴵ⋅ when using the automated capability, and 71% timesavings when minor edits were required.

More users can have more diagnostic confidence due to increased reproducibilitywith less steps in less time than traditional methods.





You are about to visit a Philips global content page
Continue