Philips kondigt de lancering van de CT 5300 aan, deze CT scanner is uitgerust met geavanceerde AI-mogelijkheden en is ontworpen voor diagnoses, interventionele procedures en screening. Dit flexibele röntgen-CT-systeem vergroot het diagnostische vertrouwen, stroomlijnt de efficiëntie van de workflow en maximaliseert de uptime van het systeem, waardoor de patiëntresultaten en de productiviteit van de afdeling verbeteren.
CT speelt een belangrijke rol bij de diagnose van hartaandoeningen, en recent onderzoek wijst erop dat een 'CT first'-strategie voor de triage van patiënten met pijn op de borst en een niet-gediagnosticeerde coronaire hartziekte (ook wel ischemische hartziekte genoemd) de patiëntenzorg zou kunnen verbeteren door hen te helpen meer invasieve procedures te vermijden [1]. Een gebrek aan de beschikbaarheid van hoogwaardige CT-systemen, of aan artsen die gekwalificeerd zijn om cardiale CT-onderzoeken te lezen, verhindert deze aanpak echter vaak. De CT 5300 voldoet aan de geavanceerde diagnostische beeldvormingsvereisten voor patiënten met hartaandoeningen, maar ook voor andere uitdagende gebieden zoals traumazorg en interveniërende procedures.
Het systeem integreert ook virtuele tools voor real-time samenwerking en klinische/technische ondersteuning, die van groot belang kunnen zijn bij uitdagingen die verband houden met de toegenomen hoeveelheid patiënten, complexe gevallen, personeelstekorten en budgetbeperkingen. Door klinische expertise en functionaliteit die voorheen werd geassocieerd met geavanceerde scanners samen te brengen in een betaalbaarder, veelzijdiger systeem, wil Philips geavanceerde medische technologie toegankelijker maken voor meer patiënten, waarbij de nadruk wordt gelegd op levenslange waarde en duurzaamheid, ontworpen voor gezondheidszorgsystemen met een lager energieverbruik.
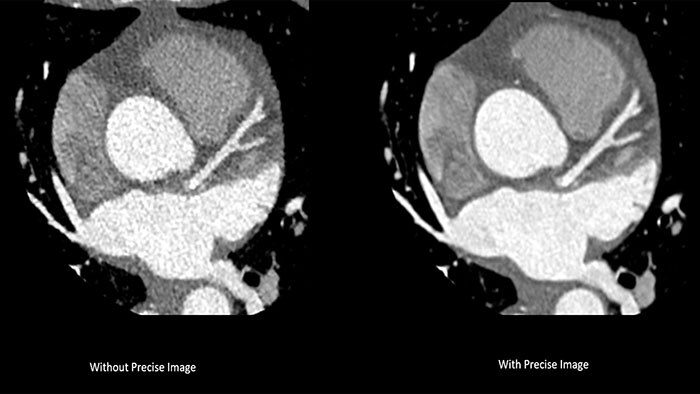
De nieuwe CT 5300 is al in verschillende Europese ziekenhuizen geplaatst. "CT 5300 biedt CT-beeldvorming van top tot teen, gecombineerd met hoogwaardige functionaliteit zoals coronaire angiografie, waardoor een extreem breed spectrum aan toepassingen wordt geboden en we een grotere hoeveelheid patiënten beter kunnen beheren", aldus Dr. Hilmar Kühl, hoofd Radiologie in het St. Bernhard-ziekenhuis Kamp-Lintfort, Duitsland. "Met dit nieuwste systeem van Philips zien we een verbetering in de beeldkwaliteit met Precise Imaging, en voor het eerst kunnen we nu de cardiale anatomie visualiseren door Precise Cardiac vrijwel artefactvrij te gebruiken, wat zeer waardevol is om de cardiale zorg te helpen verbeteren voor onze patiënten."
"We horen van radiologen over de problemen waarmee ze dagelijks te maken hadden en wat ze zoeken in een nieuwe CT-scanner. Vervolgens hebben we de nieuwste beeldvormings- en AI-technologieën gecombineerd om aan hun behoeften te voldoen en hebben we een systeem gecreëerd dat diagnostisch vertrouwen van een hoger niveau biedt, workflows mogelijk maakt en levenslange waarde garandeert”, zegt Paul Wiering, Head of Imaging bij Philips Benelux. "We hebben AI voor vrijwel elk aspect van de CT 5300 ingezet, waardoor radiologen zich kunnen ontdoen van vervelende, tijdrovende taken en meer tijd aan hun patiënten kunnen besteden."
De nieuwe scanner heeft Nanopanel Precise, dat speciaal voor op AI gebaseerde reconstructie vanaf de basis is opgebouwd. Deze gloednieuwe detector maakt gebruik van de volledige mogelijkheden van Philips Precise Image-reconstructiesoftware om beelden van hoge kwaliteit te bieden bij een veel lagere stralingsdosis. Bij een 80% lagere dosis behaalt Precise Image tot 85% minder ruis en 60% betere detecteerbaarheid bij laag contrast dan conventionele beeldreconstructie [2]. In combinatie met Precise Cardiac-bewegingscompensatie maakt Precise Image de CT 5300 bijzonder geschikt voor hoogwaardige, bewegingsvrije cardiale beeldvorming bij patiënten met een hoge hartslag of hartslagvariabiliteit.
Naast het vergroten van het diagnostische vertrouwen, past de CT 5300 AI ook toe om beeldvormingsonderzoeken te versnellen, zodat radiologieafdelingen de toenemende werkdruk van patiënten aankunnen. De Precise Position AI-camera automatiseert en verkort de positioneringstijd van de patiënt tot 23%, verbetert de verticale positioneringsnauwkeurigheid tot 50% en verhoogt de consistentie tussen bedieners tot 70% [3]. Waar extra expertise of technische ondersteuning nodig is tijdens een onderzoek, beschikt het nieuwe systeem ook over virtuele tools zoals Philips CT Collaboration Live om samenwerking, opleiding en training op afstand mogelijk te maken. Meer tijd doorbrengen met patiënten betekent een betere patiëntervaring, terwijl een grotere productiviteit en werkgemak de ervaring van de bediener verbeteren en zo personeelstekorten en overbelasting helpen verminderen. [1] Markus Scherer, MD, Atrium Health-Sanger Heart and Vascular Institute, Charlotte, NC. De onderzoeksresultaten zijn op 1 februari 2024 gepresenteerd op de Cardiovascular Summit van het American College of Cardiology (ACC) in Washington, DC.
De CT 5300 heeft een CE-markering en de FDA 510(k)-goedkeuring is in behandeling.
[2] Minder beeldruis, verbeterde detecteerbaarheid bij laag contrast en/of dosisverlaging werden getest met behulp van referentie-instantieprotocollen. Alle metingen zijn getest op fantomen. Tests voor detecteerbaarheid bij laag contrast zijn uitgevoerd met behulp van segmenten van 1,0 mm, en getest op de MITA CT IQ Phantom (CCT183, The Phantom Laboratory), met behulp van de automatische tool "CHO" (Channelized Hotelling Observer). Gegevens in ons bestand. Philips-whitepaper 'Basic IMR testing, considerations and image quality trends'.
https://www.philips.co.uk/c-dam/b2bhc/gb/resource-catalog/landing/brightontender/ct-imr-white-paper-lr.pdf
[3] Gebaseerd op een interne beoordeling van Philips door vijf klinische experts, waarbij handmatige positionering werd vergeleken met Precise Position in 40 klinische gevallen met behulp van een fantoom van een menselijk lichaam.
Koninklijke Philips N.V. (NYSE: PHG; AEX: PHIA) is een toonaangevende aanbieder van gezondheidstechnologie die zich richt op het verbeteren van de gezondheid van mensen en het bereiken van betere zorgresultaten binnen het gehele gezondheidscontinuüm, van gezond leven en preventie tot diagnostiek, behandeling en thuiszorg. Philips maakt gebruik van geavanceerde technologieën en diepgaand inzicht in klinische toepassingen en de behoeften van consumenten om geïntegreerde oplossingen te ontwikkelen. De onderneming is marktleider op het gebied van diagnostische beeldvorming, beeldgestuurde behandelingen, medische IT-toepassingen, patiëntbewaking, thuiszorgsystemen en gezondheidstoepassingen voor consumenten. Het hoofdkantoor van Philips is gevestigd in Nederland. Met wereldwijd circa 69.700 medewerkers en verkoop- en servicepunten verspreid over meer dan 100 landen genereerden de activiteiten op het gebied van gezondheidstechnologie in 2023 een omzet van 18,2 miljard euro. Voor nieuws over Philips kunt u terecht op www.philips.nl.

Pieter de Meer
External Relations Lead Philips Benelux
Tel.: +31 6 25 26 90 65
You are about to visit a Philips global content page
ContinueHeeft u interesse in deze oplossing, neem dan contact op via ons contactformulier.