NL
EN

ClarityIQ

Low-dose high-quality imaging technology

Bekijk soortgelijke producten

ClarityIQ, available on Azurion systems, uses real-time image processing algorithms and computer technology to optimize image quality.

Kenmerken
High quality, ultra-low dose
High quality, ultra-low dose

High quality, ultra-low dose

ClarityIQ technology dramatically reduces X-ray dose, resulting in reduced risk of complications from radiation exposure for patients [1-39, a,b]. It enables longer procedures to treat obese and high-risk patients [1-39, a,b]. ClarityIQ decreases scatter radiation, thereby reducing long-term health risk for physicians and staff [1-39, a,b]. Multiple clinical studies on more than 21,275 patients [1-39, a] have been published on ClarityIQ technology to date, revealing one truth: significantly lower dose across clinical areas, patients and operators [1-39, a].

High quality, ultra-low dose

High quality, ultra-low dose
ClarityIQ technology dramatically reduces X-ray dose, resulting in reduced risk of complications from radiation exposure for patients [1-39, a,b]. It enables longer procedures to treat obese and high-risk patients [1-39, a,b]. ClarityIQ decreases scatter radiation, thereby reducing long-term health risk for physicians and staff [1-39, a,b]. Multiple clinical studies on more than 21,275 patients [1-39, a] have been published on ClarityIQ technology to date, revealing one truth: significantly lower dose across clinical areas, patients and operators [1-39, a].

High quality, ultra-low dose

ClarityIQ technology dramatically reduces X-ray dose, resulting in reduced risk of complications from radiation exposure for patients [1-39, a,b]. It enables longer procedures to treat obese and high-risk patients [1-39, a,b]. ClarityIQ decreases scatter radiation, thereby reducing long-term health risk for physicians and staff [1-39, a,b]. Multiple clinical studies on more than 21,275 patients [1-39, a] have been published on ClarityIQ technology to date, revealing one truth: significantly lower dose across clinical areas, patients and operators [1-39, a].
Meer informatie
High quality, ultra-low dose
High quality, ultra-low dose

High quality, ultra-low dose

ClarityIQ technology dramatically reduces X-ray dose, resulting in reduced risk of complications from radiation exposure for patients [1-39, a,b]. It enables longer procedures to treat obese and high-risk patients [1-39, a,b]. ClarityIQ decreases scatter radiation, thereby reducing long-term health risk for physicians and staff [1-39, a,b]. Multiple clinical studies on more than 21,275 patients [1-39, a] have been published on ClarityIQ technology to date, revealing one truth: significantly lower dose across clinical areas, patients and operators [1-39, a].
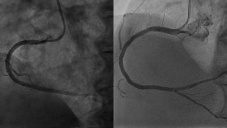
Enhanced vascular visibility
Enhanced vascular visibility

Enhanced vascular visibility

ClarityIQ uses advanced spatial filtering to highlight structures and reduce the impact of background noise on an image. High-speed parallel computing capabilities enhance filtering in real time. The result is exceptional visualization of clinically relevant structures at dramatically low levels of detector X-ray dose. This is especially beneficial for endovascular cases.

Enhanced vascular visibility

Enhanced vascular visibility
ClarityIQ uses advanced spatial filtering to highlight structures and reduce the impact of background noise on an image. High-speed parallel computing capabilities enhance filtering in real time. The result is exceptional visualization of clinically relevant structures at dramatically low levels of detector X-ray dose. This is especially beneficial for endovascular cases.

Enhanced vascular visibility

ClarityIQ uses advanced spatial filtering to highlight structures and reduce the impact of background noise on an image. High-speed parallel computing capabilities enhance filtering in real time. The result is exceptional visualization of clinically relevant structures at dramatically low levels of detector X-ray dose. This is especially beneficial for endovascular cases.
Meer informatie
Enhanced vascular visibility
Enhanced vascular visibility

Enhanced vascular visibility

ClarityIQ uses advanced spatial filtering to highlight structures and reduce the impact of background noise on an image. High-speed parallel computing capabilities enhance filtering in real time. The result is exceptional visualization of clinically relevant structures at dramatically low levels of detector X-ray dose. This is especially beneficial for endovascular cases.
Less motion blurring
Less motion blurring

Less motion blurring

To reduce X-ray dose without losing clinically relevant information in dynamic cardiac anatomy, ClarityIQ technology uses a new motion compensation feature. It reduces blur on just part of an image of moving objects, like the heart and GI tract, thereby enhancing the image quality. The look of the cardiac images can be adjusted during installation to fit user preferences.

Less motion blurring

Less motion blurring
To reduce X-ray dose without losing clinically relevant information in dynamic cardiac anatomy, ClarityIQ technology uses a new motion compensation feature. It reduces blur on just part of an image of moving objects, like the heart and GI tract, thereby enhancing the image quality. The look of the cardiac images can be adjusted during installation to fit user preferences.

Less motion blurring

To reduce X-ray dose without losing clinically relevant information in dynamic cardiac anatomy, ClarityIQ technology uses a new motion compensation feature. It reduces blur on just part of an image of moving objects, like the heart and GI tract, thereby enhancing the image quality. The look of the cardiac images can be adjusted during installation to fit user preferences.
Meer informatie
Less motion blurring
Less motion blurring

Less motion blurring

To reduce X-ray dose without losing clinically relevant information in dynamic cardiac anatomy, ClarityIQ technology uses a new motion compensation feature. It reduces blur on just part of an image of moving objects, like the heart and GI tract, thereby enhancing the image quality. The look of the cardiac images can be adjusted during installation to fit user preferences.
Singular clinical flexibility
Singular clinical flexibility

Singular clinical flexibility

ClarityIQ’s flexible digital imaging pipeline unlocks unique dose management capabilities and clinical flexibility for clinicians. Unlike many conventional systems that process images sequentially, ClarityIQ performs many image processing blocks in parallel and in stages. So more images can be processed, more quickly with no notable delay between acquisition and display.

Singular clinical flexibility

Singular clinical flexibility
ClarityIQ’s flexible digital imaging pipeline unlocks unique dose management capabilities and clinical flexibility for clinicians. Unlike many conventional systems that process images sequentially, ClarityIQ performs many image processing blocks in parallel and in stages. So more images can be processed, more quickly with no notable delay between acquisition and display.

Singular clinical flexibility

ClarityIQ’s flexible digital imaging pipeline unlocks unique dose management capabilities and clinical flexibility for clinicians. Unlike many conventional systems that process images sequentially, ClarityIQ performs many image processing blocks in parallel and in stages. So more images can be processed, more quickly with no notable delay between acquisition and display.
Meer informatie
Singular clinical flexibility
Singular clinical flexibility

Singular clinical flexibility

ClarityIQ’s flexible digital imaging pipeline unlocks unique dose management capabilities and clinical flexibility for clinicians. Unlike many conventional systems that process images sequentially, ClarityIQ performs many image processing blocks in parallel and in stages. So more images can be processed, more quickly with no notable delay between acquisition and display.
Tailor-made application settings
Tailor-made application settings

Tailor-made application settings

To support diverse applications, over 500 system parameters have been fine-tuned within ClarityIQ technology, and image processing can be adjusted independently. For example, real-time Pixel Shift with Automatic Motion Control is applied to enhance visibility of tiny vessels for neuro interventions. Motion Compensation reduces noise in images of the beating heart.

Tailor-made application settings

Tailor-made application settings
To support diverse applications, over 500 system parameters have been fine-tuned within ClarityIQ technology, and image processing can be adjusted independently. For example, real-time Pixel Shift with Automatic Motion Control is applied to enhance visibility of tiny vessels for neuro interventions. Motion Compensation reduces noise in images of the beating heart.

Tailor-made application settings

To support diverse applications, over 500 system parameters have been fine-tuned within ClarityIQ technology, and image processing can be adjusted independently. For example, real-time Pixel Shift with Automatic Motion Control is applied to enhance visibility of tiny vessels for neuro interventions. Motion Compensation reduces noise in images of the beating heart.
Meer informatie
Tailor-made application settings
Tailor-made application settings

Tailor-made application settings

To support diverse applications, over 500 system parameters have been fine-tuned within ClarityIQ technology, and image processing can be adjusted independently. For example, real-time Pixel Shift with Automatic Motion Control is applied to enhance visibility of tiny vessels for neuro interventions. Motion Compensation reduces noise in images of the beating heart.
Reducing motion artifacts
Reducing motion artifacts

Reducing motion artifacts

By aligning images with each other before subtraction, real-time Pixel Shift helps reduce motion artifact. ClarityIQ performs pixel shifting automatically and in real-time using the Automatic Motion Control feature. During neuro interventions, AMC corrects skull and motion and artifacts, which is important when placing small devices at the base of the skull.

Reducing motion artifacts

Reducing motion artifacts
By aligning images with each other before subtraction, real-time Pixel Shift helps reduce motion artifact. ClarityIQ performs pixel shifting automatically and in real-time using the Automatic Motion Control feature. During neuro interventions, AMC corrects skull and motion and artifacts, which is important when placing small devices at the base of the skull.

Reducing motion artifacts

By aligning images with each other before subtraction, real-time Pixel Shift helps reduce motion artifact. ClarityIQ performs pixel shifting automatically and in real-time using the Automatic Motion Control feature. During neuro interventions, AMC corrects skull and motion and artifacts, which is important when placing small devices at the base of the skull.
Meer informatie
Reducing motion artifacts
Reducing motion artifacts

Reducing motion artifacts

By aligning images with each other before subtraction, real-time Pixel Shift helps reduce motion artifact. ClarityIQ performs pixel shifting automatically and in real-time using the Automatic Motion Control feature. During neuro interventions, AMC corrects skull and motion and artifacts, which is important when placing small devices at the base of the skull.
Treating high-risk patients
Treating high-risk patients

Treating high-risk patients

As interventions become more complex, your challenges multiply. One challenge is the rise in patients with high BMI. Visualizing their anatomy can necessitate increased dose levels and lengthen fluoroscopy time. ClarityIQ’s low dose imaging gives you more flexibility for managing dose levels and extending fluoroscopy time to image obese and high risk patients.

Treating high-risk patients

Treating high-risk patients
As interventions become more complex, your challenges multiply. One challenge is the rise in patients with high BMI. Visualizing their anatomy can necessitate increased dose levels and lengthen fluoroscopy time. ClarityIQ’s low dose imaging gives you more flexibility for managing dose levels and extending fluoroscopy time to image obese and high risk patients.

Treating high-risk patients

As interventions become more complex, your challenges multiply. One challenge is the rise in patients with high BMI. Visualizing their anatomy can necessitate increased dose levels and lengthen fluoroscopy time. ClarityIQ’s low dose imaging gives you more flexibility for managing dose levels and extending fluoroscopy time to image obese and high risk patients.
Meer informatie
Treating high-risk patients
Treating high-risk patients

Treating high-risk patients

As interventions become more complex, your challenges multiply. One challenge is the rise in patients with high BMI. Visualizing their anatomy can necessitate increased dose levels and lengthen fluoroscopy time. ClarityIQ’s low dose imaging gives you more flexibility for managing dose levels and extending fluoroscopy time to image obese and high risk patients.
  • High quality, ultra-low dose
  • Enhanced vascular visibility
  • Less motion blurring
  • Singular clinical flexibility
Bekijk alle kenmerken
High quality, ultra-low dose
High quality, ultra-low dose

High quality, ultra-low dose

ClarityIQ technology dramatically reduces X-ray dose, resulting in reduced risk of complications from radiation exposure for patients [1-39, a,b]. It enables longer procedures to treat obese and high-risk patients [1-39, a,b]. ClarityIQ decreases scatter radiation, thereby reducing long-term health risk for physicians and staff [1-39, a,b]. Multiple clinical studies on more than 21,275 patients [1-39, a] have been published on ClarityIQ technology to date, revealing one truth: significantly lower dose across clinical areas, patients and operators [1-39, a].

High quality, ultra-low dose

High quality, ultra-low dose
ClarityIQ technology dramatically reduces X-ray dose, resulting in reduced risk of complications from radiation exposure for patients [1-39, a,b]. It enables longer procedures to treat obese and high-risk patients [1-39, a,b]. ClarityIQ decreases scatter radiation, thereby reducing long-term health risk for physicians and staff [1-39, a,b]. Multiple clinical studies on more than 21,275 patients [1-39, a] have been published on ClarityIQ technology to date, revealing one truth: significantly lower dose across clinical areas, patients and operators [1-39, a].

High quality, ultra-low dose

ClarityIQ technology dramatically reduces X-ray dose, resulting in reduced risk of complications from radiation exposure for patients [1-39, a,b]. It enables longer procedures to treat obese and high-risk patients [1-39, a,b]. ClarityIQ decreases scatter radiation, thereby reducing long-term health risk for physicians and staff [1-39, a,b]. Multiple clinical studies on more than 21,275 patients [1-39, a] have been published on ClarityIQ technology to date, revealing one truth: significantly lower dose across clinical areas, patients and operators [1-39, a].
Meer informatie
High quality, ultra-low dose
High quality, ultra-low dose

High quality, ultra-low dose

ClarityIQ technology dramatically reduces X-ray dose, resulting in reduced risk of complications from radiation exposure for patients [1-39, a,b]. It enables longer procedures to treat obese and high-risk patients [1-39, a,b]. ClarityIQ decreases scatter radiation, thereby reducing long-term health risk for physicians and staff [1-39, a,b]. Multiple clinical studies on more than 21,275 patients [1-39, a] have been published on ClarityIQ technology to date, revealing one truth: significantly lower dose across clinical areas, patients and operators [1-39, a].
Enhanced vascular visibility
Enhanced vascular visibility

Enhanced vascular visibility

ClarityIQ uses advanced spatial filtering to highlight structures and reduce the impact of background noise on an image. High-speed parallel computing capabilities enhance filtering in real time. The result is exceptional visualization of clinically relevant structures at dramatically low levels of detector X-ray dose. This is especially beneficial for endovascular cases.

Enhanced vascular visibility

Enhanced vascular visibility
ClarityIQ uses advanced spatial filtering to highlight structures and reduce the impact of background noise on an image. High-speed parallel computing capabilities enhance filtering in real time. The result is exceptional visualization of clinically relevant structures at dramatically low levels of detector X-ray dose. This is especially beneficial for endovascular cases.

Enhanced vascular visibility

ClarityIQ uses advanced spatial filtering to highlight structures and reduce the impact of background noise on an image. High-speed parallel computing capabilities enhance filtering in real time. The result is exceptional visualization of clinically relevant structures at dramatically low levels of detector X-ray dose. This is especially beneficial for endovascular cases.
Meer informatie
Enhanced vascular visibility
Enhanced vascular visibility

Enhanced vascular visibility

ClarityIQ uses advanced spatial filtering to highlight structures and reduce the impact of background noise on an image. High-speed parallel computing capabilities enhance filtering in real time. The result is exceptional visualization of clinically relevant structures at dramatically low levels of detector X-ray dose. This is especially beneficial for endovascular cases.
Less motion blurring
Less motion blurring

Less motion blurring

To reduce X-ray dose without losing clinically relevant information in dynamic cardiac anatomy, ClarityIQ technology uses a new motion compensation feature. It reduces blur on just part of an image of moving objects, like the heart and GI tract, thereby enhancing the image quality. The look of the cardiac images can be adjusted during installation to fit user preferences.

Less motion blurring

Less motion blurring
To reduce X-ray dose without losing clinically relevant information in dynamic cardiac anatomy, ClarityIQ technology uses a new motion compensation feature. It reduces blur on just part of an image of moving objects, like the heart and GI tract, thereby enhancing the image quality. The look of the cardiac images can be adjusted during installation to fit user preferences.

Less motion blurring

To reduce X-ray dose without losing clinically relevant information in dynamic cardiac anatomy, ClarityIQ technology uses a new motion compensation feature. It reduces blur on just part of an image of moving objects, like the heart and GI tract, thereby enhancing the image quality. The look of the cardiac images can be adjusted during installation to fit user preferences.
Meer informatie
Less motion blurring
Less motion blurring

Less motion blurring

To reduce X-ray dose without losing clinically relevant information in dynamic cardiac anatomy, ClarityIQ technology uses a new motion compensation feature. It reduces blur on just part of an image of moving objects, like the heart and GI tract, thereby enhancing the image quality. The look of the cardiac images can be adjusted during installation to fit user preferences.
Singular clinical flexibility
Singular clinical flexibility

Singular clinical flexibility

ClarityIQ’s flexible digital imaging pipeline unlocks unique dose management capabilities and clinical flexibility for clinicians. Unlike many conventional systems that process images sequentially, ClarityIQ performs many image processing blocks in parallel and in stages. So more images can be processed, more quickly with no notable delay between acquisition and display.

Singular clinical flexibility

Singular clinical flexibility
ClarityIQ’s flexible digital imaging pipeline unlocks unique dose management capabilities and clinical flexibility for clinicians. Unlike many conventional systems that process images sequentially, ClarityIQ performs many image processing blocks in parallel and in stages. So more images can be processed, more quickly with no notable delay between acquisition and display.

Singular clinical flexibility

ClarityIQ’s flexible digital imaging pipeline unlocks unique dose management capabilities and clinical flexibility for clinicians. Unlike many conventional systems that process images sequentially, ClarityIQ performs many image processing blocks in parallel and in stages. So more images can be processed, more quickly with no notable delay between acquisition and display.
Meer informatie
Singular clinical flexibility
Singular clinical flexibility

Singular clinical flexibility

ClarityIQ’s flexible digital imaging pipeline unlocks unique dose management capabilities and clinical flexibility for clinicians. Unlike many conventional systems that process images sequentially, ClarityIQ performs many image processing blocks in parallel and in stages. So more images can be processed, more quickly with no notable delay between acquisition and display.
Tailor-made application settings
Tailor-made application settings

Tailor-made application settings

To support diverse applications, over 500 system parameters have been fine-tuned within ClarityIQ technology, and image processing can be adjusted independently. For example, real-time Pixel Shift with Automatic Motion Control is applied to enhance visibility of tiny vessels for neuro interventions. Motion Compensation reduces noise in images of the beating heart.

Tailor-made application settings

Tailor-made application settings
To support diverse applications, over 500 system parameters have been fine-tuned within ClarityIQ technology, and image processing can be adjusted independently. For example, real-time Pixel Shift with Automatic Motion Control is applied to enhance visibility of tiny vessels for neuro interventions. Motion Compensation reduces noise in images of the beating heart.

Tailor-made application settings

To support diverse applications, over 500 system parameters have been fine-tuned within ClarityIQ technology, and image processing can be adjusted independently. For example, real-time Pixel Shift with Automatic Motion Control is applied to enhance visibility of tiny vessels for neuro interventions. Motion Compensation reduces noise in images of the beating heart.
Meer informatie
Tailor-made application settings
Tailor-made application settings

Tailor-made application settings

To support diverse applications, over 500 system parameters have been fine-tuned within ClarityIQ technology, and image processing can be adjusted independently. For example, real-time Pixel Shift with Automatic Motion Control is applied to enhance visibility of tiny vessels for neuro interventions. Motion Compensation reduces noise in images of the beating heart.
Reducing motion artifacts
Reducing motion artifacts

Reducing motion artifacts

By aligning images with each other before subtraction, real-time Pixel Shift helps reduce motion artifact. ClarityIQ performs pixel shifting automatically and in real-time using the Automatic Motion Control feature. During neuro interventions, AMC corrects skull and motion and artifacts, which is important when placing small devices at the base of the skull.

Reducing motion artifacts

Reducing motion artifacts
By aligning images with each other before subtraction, real-time Pixel Shift helps reduce motion artifact. ClarityIQ performs pixel shifting automatically and in real-time using the Automatic Motion Control feature. During neuro interventions, AMC corrects skull and motion and artifacts, which is important when placing small devices at the base of the skull.

Reducing motion artifacts

By aligning images with each other before subtraction, real-time Pixel Shift helps reduce motion artifact. ClarityIQ performs pixel shifting automatically and in real-time using the Automatic Motion Control feature. During neuro interventions, AMC corrects skull and motion and artifacts, which is important when placing small devices at the base of the skull.
Meer informatie
Reducing motion artifacts
Reducing motion artifacts

Reducing motion artifacts

By aligning images with each other before subtraction, real-time Pixel Shift helps reduce motion artifact. ClarityIQ performs pixel shifting automatically and in real-time using the Automatic Motion Control feature. During neuro interventions, AMC corrects skull and motion and artifacts, which is important when placing small devices at the base of the skull.
Treating high-risk patients
Treating high-risk patients

Treating high-risk patients

As interventions become more complex, your challenges multiply. One challenge is the rise in patients with high BMI. Visualizing their anatomy can necessitate increased dose levels and lengthen fluoroscopy time. ClarityIQ’s low dose imaging gives you more flexibility for managing dose levels and extending fluoroscopy time to image obese and high risk patients.

Treating high-risk patients

Treating high-risk patients
As interventions become more complex, your challenges multiply. One challenge is the rise in patients with high BMI. Visualizing their anatomy can necessitate increased dose levels and lengthen fluoroscopy time. ClarityIQ’s low dose imaging gives you more flexibility for managing dose levels and extending fluoroscopy time to image obese and high risk patients.

Treating high-risk patients

As interventions become more complex, your challenges multiply. One challenge is the rise in patients with high BMI. Visualizing their anatomy can necessitate increased dose levels and lengthen fluoroscopy time. ClarityIQ’s low dose imaging gives you more flexibility for managing dose levels and extending fluoroscopy time to image obese and high risk patients.
Meer informatie
Treating high-risk patients
Treating high-risk patients

Treating high-risk patients

As interventions become more complex, your challenges multiply. One challenge is the rise in patients with high BMI. Visualizing their anatomy can necessitate increased dose levels and lengthen fluoroscopy time. ClarityIQ’s low dose imaging gives you more flexibility for managing dose levels and extending fluoroscopy time to image obese and high risk patients.
  • [a] In 39 individual comparative studies, Philips ClarityIQ was associated with reductions in patient radiation exposure. Ref.1-39. [b] Relationship between radiation exposure and risk of complications, long-term health risk, procedure time and patient characteristics, procedure complexity, as reported in medical guidelines (Stecker, M.S., et al., Guidelines for Patient Radiation Dose Management. Journal of Vascular and Interventional Radiology, 2009. 20(7): p. S263-S273).
  • [1] Balter, S., et al., Novel radiation dose reduction fluoroscopic technology facilitates chronic total occlusion percutaneous coronary interventions. EuroIntervention, 2017.13(12): p. e1468-e1474. [2] Bracken, J.A., et al., A Radiation Dose Reduction Technology to Improve Patient Safety During Cardiac Catheterization Interventions. J Interv Cardiol, 2015. 28(5): p. 493-7. [3] Busse, T., J. Reifart, and N. Reifart, Influence of novel X-ray imaging technology on radiation exposure during chronic total occlusion procedures. Catheter CardiovascInterv, 2018. 92(7): p. 1268-1273.
  • [4] Buytaert, D., et al., Evaluation of patient and staff exposure with state of the art x ray technology in cardiac catheterization: A randomized controlled trial. Journal of Interventional Cardiology, 2018. 31(6): p. 807-814. [5] ten Cate, T., et al., Novel X-ray image noise reduction technology reduces patint radiation dose while maintaining image quality in coronary angiography. Netherlands Heart Journal, 2015. 23(11): p. 525-530. [6] Eloot, L., et al., Novel X-ray imaging technology enables significant patient dose reduction in interventional cardiology while maintaining diagnostic image quality. Catheter Cardiovasc Interv, 2015. 86(5): p. E205-12.
  • [7] Faroux, L., et al., Minimizing exposure to radiation in invasive cardiology using modern dose-reduction technology: Evaluation of the real-life effects. Catheter Cardiovasc Interv, 2018. 91(7): p. 1194-1199. [8] Gunja, A., et al., Image noise reduction technology reduces radiation in a radial-first cardiac catheterization laboratory. Cardiovascular Revascularization Medicine, 2017. 18(3): p. 197-201. [9] Kastrati, M., et al., Reducing Radiation Dose in Coronary Angiography and Angioplasty Using Image Noise Reduction Technology. Am J Cardiol, 2016. 118(3): p. 353-6.
  • [10] Nakamura, S., et al., Patient radiation dose reduction using an X-ray imaging noise reduction technology for cardiac angiography and intervention. HeartVessels, 2015. [11] Gislason-Lee, A.J., et al., Impact of latest generation cardiac interventional X-ray equipment on patient image quality and radiation dose for trans-catheter aortic valve implantations. Br J Radiol, 2016. 89(1067): p. 20160269. [12] Haas, N.A., et al., Substantial radiation reduction in pediatric and adult congenital heart disease interventions with a novel X-ray imaging technology. IJC Heart & Vasculature, 2015. 6: p. 101-109.
  • [13] Lauterbach, M. and K.E. Hauptmann, Reducing Patient Radiation Dose With Image Noise Reduction Technology in Transcatheter Aortic Valve Procedures. The American Journal of Cardiology, 2016. 117(5): p. 834-838. [14] Sullivan, P.M., et al., Reduction in Radiation Dose in a Pediatric Cardiac Catheterization Lab Using the Philips AlluraClarity X-ray System. Pediatric Cardiology, 2017. 38(8): p. 1583-1591. [15] Dekker, L.R., et al., New image processing and noise reduction technology allows reduction of radiation exposure in complex electrophysiologic interventions while maintaining optimal image quality: a randomized clinical trial. Heart Rhythm, 2013. 10(11): p. 1678-82.
  • [16] van Dijk, J.D., et al., Impact of new X-ray technology on patient dose in pacemaker and implantable cardioverter defibrillator (ICD) implantations. J Interv Card Electrophysiol, 2017. 48(1): p. 105-110. [17] Dave, J.K., et al., A Phantom Study and a Retrospective Clinical Analysis to Investigate the Impact of a New Image Processing Technology on Radiation Dose and Image Quality during Hepatic Embolization. Journal of Vascular and Interventional Radiology, 2016. 27(4): p. 593-600. [18] Durrani, R.J., et al., Radiation dose reduction utilizing noise reduction technology during uterine artery embolization: a pilot study. Clinical Imaging, 2016. 40(3): p. 378-381.
  • [19] Kohlbrenner, R., et al., Patient Radiation Dose Reduction during Transarterial Chemoembolization Using a Novel X-Ray Imaging Platform. Journal of Vascular and Interventional Radiology, 2015. 26(9): p. 1331-1338. [20] Schernthaner, R.E., et al., A new angiographic imaging platform reduces radiation exposure for patients with liver cancer treated with transarterial chemoembolization. European radiology, 2015. 25(11): p. 3255-3262. [21] Schernthaner, R.E., et al., Characteristics of a New X-Ray Imaging System for Interventional Procedures: Improved Image Quality and Reduced Radiation Dose. Cardiovasc Intervent Radiol, 2018. 41(3): p. 502-508.
  • [22] Spink, C., et al., Noise reduction angiographic imaging technology reduces radiation dose during bronchial artery embolization. European Journal of Radiology, 2017. 97: p. 115-118. [23] Spink, C., et al., Radiation dose reduction during transjugular intrahepatic portosystemic shunt implantation using a new imaging technology. European Journal of Radiology, 2017. 86: p. 284-288. [24] Thomaere, E., et al., A new imaging technology to reduce the radiation dose during uterine fibroid embolization. Acta Radiol, 2018. 59(12): p. 1446-1450.
  • [25] Trunz, L.M., et al., Investigation of Radiation Dose Estimates and Image Quality Between Commercially Available Interventional Fluoroscopy Systems for Fluoroscopically Guided Interventional Procedures. Acad Radiol, 2021. 28(11): p. 1559-1569. [26] Wen, X., et al., Novel X-Ray Imaging Technology Allows Substantial Patient Radiation Reduction without Image Quality Impairment in Repetitive Transarterial Chemoembolization for Hepatocellular Carcinoma. Academic Radiology, 2015. 22(11): p. 1361-1367. [27] Alsafi, A., et al., Adrenal Vein Sampling: Radiation Dose Reduction on New Angiography Platform. The Arab Journal of Interventional Radiology, 2020. 4(02): p.102-106.
  • [28] Baumann, F., et al., The Effect of a New Angiographic Imaging Technology on Radiation Dose in Visceral Embolization Procedures. Vasc Endovascular Surg, 2017.51(4): p. 183-187. [29] van den Haak, R.F., et al., Significant Radiation Dose Reduction in the Hybrid Operating Room Using a Novel X-ray Imaging Technology. Eur J Vasc Endovasc Surg, 2015. 50(4): p. 480-6. [30] Kirkwood, M.L., et al., New image-processing and noise-reduction software reduces radiation dose during complex endovascular procedures. Journal of Vascular Surgery, 2016. 64(5): p. 1357-1365.
  • [31] de Ruiter, Q.M., et al., AlluraClarity Radiation Dose-Reduction Technology in the Hybrid Operating Room During Endovascular Aneurysm Repair. J Endovasc Ther, 2016. 23(1): p. 130-8. [32] Stangenberg, L., et al., Modern Fixed Imaging Systems Reduce Radiation Exposure to Patients and Providers. Vasc Endovascular Surg, 2018. 52(1): p. 52-58. [33] van Strijen, M.J., et al., Evaluation of a Noise Reduction Imaging Technology in Iliac Digital Subtraction Angiography: Noninferior Clinical Image Quality with Lower Patient and Scatter Dose. Journal of Vascular and Interventional Radiology, 2015. 26(5): p. 642-650.e1.
  • [34] Strauss, K.J., et al., Estimates of diagnostic reference levels for pediatric peripheral and abdominal fluoroscopically guided procedures. AJR Am J Roentgenol, 2015. 204(6): p. W713-9. [35] van der Marel, K., et al., Reduced Patient Radiation Exposure during Neurodiagnostic and Interventional X-Ray Angiography with a New Imaging Platform. AJNR Am J Neuroradiol, 2017. 38(3): p. 442-449. [36] Söderman, M., et al., Image noise reduction algorithm for digital subtraction angiography: clinical results. Radiology, 2013. 269(2): p. 553-60.
  • [37] Söderman, M., et al., Radiation dose in neuroangiography using image noise reduction technology: a population study based on 614 patients. Neuroradiology, 2013. 55(11): p. 1365-1372. [38] Spink, C. et al., Radiation dose reduction during adrenal vein sampling using a new angiographic imaging technology. Scientific reports, 2022. 12(1): p. 6067-6067. [39] Wilson-Stewart, K.S., et al., Impact of dose reducing software on patient and staff temple dose during fluoroscopically guided pacemaker insertion, closure devices implantation and coronary angiography procedures. Physical and engineering sciences in medicine, 2022. 45(2): p. 589-599.

You are about to visit a Philips global content page

Continue

You are about to visit a Philips global content page

Continue

U kunt onze website het beste bekijken met de nieuwste versie van Microsoft Edge, Google Chrome of Firefox.