Spectral CT 7500 RT

Doelgericht met spectrale zekerheid

Zet de volgende grote stap in het plannen van radiotherapie in oncologie

Verbeter de nauwkeurigheid in de planning van radiotherapie binnen de oncologie met spectrale zekerheid. Voor het eerst beschikt u over zowel spectrale inzichten als conventionele beeldresultaten in één enkele scan, dankzij een spectraal detector-CT-systeem dat speciaal is ontwikkeld voor oncologische radiotherapie. De Philips Spectral CT 7500 RT bevordert nauwkeurigheid in de planning en integreert moeiteloos in uw bestaande workflow, zodat u de zorg voor patiënten kunt blijven verbeteren.

Ervaar bewezen spectrale nauwkeurigheid

 

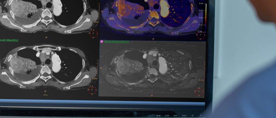
Pas spectrale CT-resultaten, waaronder elektronendichtheid en effectief atoomnummer, toe in radiotherapieplanning om de zichtbaarheid bij het afbakenen van tumoren te verbeteren.

Scan zoals u normaal zou doen

 

Behaal hoogwaardige conventionele CT-beelden en spectrale resultaten in één enkele scan met een eenvoudige workflow, zonder speciale protocollen.

Zie de nauwkeurigheid in dosisberekeningen

 

Spectral CT kan de foutmarge bij het meten van proton SPR meer dan halveren vergeleken met conventionele CT, waardoor de fout gemiddeld onder de 1% blijft.1

Bespaar mogelijk tijd en kosten

 

Met één spectrale scan voorkomt u mogelijk meerdere CT-scans en aanvullende beeldvorming tijdens de behandelcyclus.

Spectral CT 7500 RT-video

Ontdek baanbrekende mogelijkheden voor uw radiotherapieplanning

> 50%

vermindering in SPR-fout1

Spectral CT kan de foutmarge bij het meten van proton SPR meer dan halveren, waardoor de fout gemiddeld onder de 1% blijft.1

1e

systeem ter wereld dat spectrale 4D-CT biedt

De Spectral CT 7500 RT is de enige scanner voor radiotherapie in de oncologie die spectrale, ademhalingsgestuurde scans kan uitvoeren.

Elk radiotherapieteam weet dat kanker steeds complexer wordt

De uitdagingen binnen de radiotherapeutische oncologie zijn aanzienlijk. Niet alleen neemt het aantal kankergevallen toe, maar ook het karakteriseren van tumoren – inclusief subtype en stadium – wordt steeds complexer. Gerichte behandeling met spectrale zekerheid betekent dat er een hoge mate van spectrale nauwkeurigheid wordt bereikt in de planning.

ct-technoloog die kijkt naar een scan

Spectrale nauwkeurigheid in radiotherapieplanning

Ervaar afbakeningszekerheid met verbeterde visualisatie en beoordeling van tumoren en organen die risico lopen. Verhoog de nauwkeurigheid van de foton- en protondosisberekening met behulp van de stopvermogensverhouding (SPR) en directe elektronendichtheid (ED). Beoordeel fysiologisch actieve tumorgebieden kwantitatief.

Eenvoudige workflow voor oncologische radiotherapie

Het altijd actieve spectrale systeem levert diverse lagen aan spectrale resultaten – op aanvraag en zonder speciale protocollen. Eén enkele dual-energy scan levert zowel echte conventionele als spectrale CT-resultaten en kan daarmee de noodzaak voor aanvullende beeldvormingsmodaliteiten mogelijk verminderen.

vrouwelijke technologen die kijken naar het scherm

Verlengd gezichtsveld van 80 cm (EFOV)

 

Het verlengde gezichtsveld van maximaal 80 cm maakt volledige visualisatie van de patiëntanatomie mogelijk en biedt een hoge nauwkeurigheid in Hounsfield-eenheden (HU).2

patiënt in een rt-scanner
technoloog en patiënt in een ct-simulator

Geavanceerde mogelijkheden voor radiotherapie binnen oncologie

 

Voer spectrale, ademhalingsgestuurde scans uit met de Spectral CT 7500 RT – 's werelds eerste spectrale 4D-CT.

Hoogwaardige tafelblad voor positienauwkeurigheid

 

De Spectral CT 7500 RT voldoet aan AAPM TG-66 en is uitgerust met een geïndexeerde behandeltafel voor een hoge nauwkeurigheid in positionering tijdens CT-simulatie en -behandeling.

Spectral CT 7500 RT met ambient experience
technoloog die kijkt naar het scherm

Multimodality Simulation Workspace

 

De Spectral CT 7500 RT is compatibel met de Multimodality Simulation Workspace (MM SIM3), een multimodaal beeldvormingsplatform dat de conversie van ED en Z-effectieve spectrale resultaten naar SPR-kaarten (stopvermogensverhouding) ondersteunt.

Compatibel met toonaangevende oplossingen van derden voor gestroomlijnde behandelworkflows

 

De Spectral CT 7500 RT ondersteunt een gestroomlijnde workflow met geïntegreerde behandeloplossingen, waaronder ademhalingsgestuurde systemen en lasers, voor consistentie en gebruiksgemak gedurende het hele traject – van simulatie tot behandeling.

technoloog die naar het scherm wijst

We gaan graag met je in gesprek.

Hoe kunnen we je helpen?

1
Selecteer je interessegebied
2
Contactgegevens

Voetnoten
 

[1] Longarino. Potential of a second-generation dual-layer spectral CT for dose calculation in particle therapy treatment planning. Frontiers in Oncology. 2022. https://pubmed.ncbi.nlm.nih.gov/35530308/

[2] De HU in het EFOV werden getest met een fantoom voor zacht weefsel. De HU-fout van water, gemeten met een waterfantoom van 30 cm diameter, gepositioneerd op 800 mm, bedroeg -20 ± 20 HU (gemiddelde fout ± 2 keer de standaarddeviatie, resulterend in een 90% betrouwbaarheidsinterval bij een normale verdeling).

[3] Niet beschikbaar in alle landen.

Disclaimer

Resultaten zijn specifiek van toepassing op de instelling waar deze werden verkregen en zijn mogelijk geen afspiegeling van resultaten die haalbaar zijn bij andere instellingen. Resultaten kunnen verschillen per geval.

You are about to visit a Philips global content page

Continue

You are about to visit a Philips global content page

Continue

U kunt onze website het beste bekijken met de nieuwste versie van Microsoft Edge, Google Chrome of Firefox.